Helly est atteinte d’une dysplasie sévère et d’arthrose à un stade avancé avec des becs de perroquet le long de la colonne vertébrale. Notre témoignage ici est destiné à évoquer notre expérience et la technique des implants d’or, méconnue, qui nous permet de poursuivre nos aventures en montagne ensemble malgré ces pathologies lourdes et contraignantes. Ces éléments n’ont pas vocation à se substituer aux conseils de votre vétérinaire mais à vous apporter un éclairage sur des pratiques douces qui méritent d’être davantage considérées dans une prise en charge globale pour l’accompagnement d’un chien atteint de dysplasie et/ou arthrose.
- Historique et diagnostic
- Implants d’or
- Traitements complémentaires
- Bilan pour Helly et retour d’expérience de Kira
HISTORIQUE ET DIAGNOSTIC
La découverte
Helly est une chienne solide et endurante qui a grandi dans un environnement sportif à nos côtés. De ce fait, nous n’avons jamais constaté avant ses 6 ans une quelconque difficulté physique de sa part et ce peu importe l’intensité et l’engagement des ascensions que nous avons pu effectuer ensemble.
Un premier épisode de boiterie vers ses 4 ans nous avait conduit chez notre ostéopathe vétérinaire qui l’avait remise sur pied.
Cependant à ses 6 ans, un nouvel épisode de boiterie nous a alerté après une descente en ski de randonnée durant laquelle elle avait galopé très vite dans la descente. La semaine d’avant, elle avait déjà beaucoup forcé dans la poudreuse pour être devant en faisant la trace.
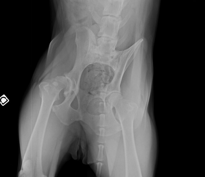
Nous avons choisi de faire une radio et c’est là que nous avons découvert l’impensable : Helly est atteinte d’une dysplasie très importante ainsi que d’arthrose et de becs de perroquet – les vertèbres se soudent entre elles et réduisent drastiquement la mobilité – à de multiples endroits.





Notre vétérinaire était catastrophée et nous a donné un premier diagnostic très alarmiste : il fallait tout arrêter, uniquement des promenades hygiéniques en attendant une lourde opération avec pose de prothèses de hanche. Nous sommes rentrés anéantis en se demandant comment on avait pu passer à côté d’un truc aussi énorme.
C’est un second avis vétérinaire pris dans la foulée qui donnera réponse à cette question avec un diagnostic plus mesuré : Helly est tellement musclée qu’elle a compensé et qu’il ne faut au contraire surtout pas arrêter ce que l’on fait car c’est ce qui l’a maintient en bonne santé. Seulement réduire l’intensité et notamment la vitesse en ski de rando.
Les injections de Librella
Ce second vétérinaire de la région spécialisé dans les os nous a préconisé avant une quelconque opération de tenter les injections régulières de Librella. C’est ainsi que nous avons mis en place un protocole avec trois premières injections espacées d’un mois chacune puis une injection toutes les 7 à 8 semaines environ à hauteur de 116€ par injection.
Le résultat est très impressionnant : le Librella supprime la douleur et Helly a retrouvé une santé de jeune fille, à refaire des sauts de cabris comme elle en était capable à ses 3 ans. Cependant, il ne règle pas le problème de fond mais le masque.
Au delà de ça, nous nous demandions clairement ce que nous pourrions lui proposer à ses 12 ans si déjà à 6 elle était sous Librella régulièrement. Nous nous questionnions également sur les effets secondaires au long terme de ce type de produit encore trop récent pour avoir des études significatives.
LES IMPLANTS D’OR
Lorsque j’avais évoqué sur les réseaux l’état des radios d’Helly, l’une d’entre vous est rapidement venue me parler des bénéfices des implants d’or sur son chien.
Oui mais voilà : je n’en avais jamais entendu parler et j’ai immédiatement trouvé suspect qu’une technique dite miraculeuse ne soit connue que par une poignée de personnes. J’ai pensé « mais qu’est-ce que c’est que cette secte ? », ne voulant pas me faire avoir par des charlatans.
Durant un an, forte du super pouvoir du Librella, Helly était en grande forme. C’est la dégradation de l’état physique de la malinoise d’une amie qui allait sur ses 10 ans avec des problématiques similaires – cf. Kira – qui m’a poussé à étudier la question des implants d’or en prévention.
J’ai trouvé un groupe Facebook «Implants d’or sur les animaux » dont j’ai parcouru beaucoup de témoignages vraiment éloquents : tous ou presque parlaient de chiens devenus extrêmement réduits en termes de mobilité et qui suite à la pose d’implants pouvaient remarcher normalement et pour certains reprendre une activité physique régulière. Réellement, des retours assez miraculeux qui de prime abord laissent sceptiques mais suscitent la curiosité. De la même manière, une thèse de doctorat de la vétérinaire Aliénor Taveneau Le Chevallier peut être consultable sur internet et apporte des éléments de réflexion intéressants
J’ai évoqué cette question avec notre ostéopathe vétérinaire qui connaissait bien alors que notre vétérinaire n’en avait jamais entendu parler. La première nous confortera dans l’idée d’aller demander un avis des spécialistes en question à la Yourte Vétérinaire à Faverges, pas très loin d’Annecy à la frontière entre la Savoie et la Haute-Savoie.
Késako ?
Les implants d’or sont une technique de médecine dite douce qui consiste à venir déposer chirurgicalement des « billes » d’or sur les zones arthrosiques et dysplasiques pour soulager. Il s’agit en quelques sortes de points d’acuponcture permanents. On ne les retire pas et une fois qu’ils sont installés, il n’y a pas besoin de venir en remettre sur les mêmes zones, c’est définitif. A l’instar du Librella, cela est destiné à soulager la douleur pour retrouver de la mobilité et ne supprimera ni la dysplasie ni l’arthrose.
Les effets ne sont pas immédiats : les améliorations sont visibles entre 2 mois et 1 an pour les chiens les plus atteints et il convient de ne pas faire de rupture d’antalgiques avant que ces derniers prennent le relai.


L’intervention
Après un premier rendez-vous avec le spécialiste Dr Wiliam RANDLE à la Yourte Vétérinaire pour confirmer qu’Helly était éligible à cette pratique au regard de ses pathologies et des images radios, nous avons convenu d’une opération un mois plus tard début avril 2025.
L’intervention dure 30 à 40 minutes avec une sédation légère – ils n’intubent pas le chien a priori sauf exception – et le vétérinaire va venir déposer avec une grosse aiguille les implants d’or sur les zones prédéfinies. Helly a reçu 32 implants au total sur les hanches, la colonne et les poignets. A la Yourte, ils ne rasent que les zones nécessaires contrairement à d’autres cliniques qui rasent intégralement les hanches du chien par exemple.
J’ai déposé Helly à 14h et suis restée pour l’endormissement à ma demande pour la rassurer. Puis je l’ai récupéré vers 18h. Durant 48H elle est restée au calme avec des balades hygiéniques puis nous avons pu reprendre le cours de notre vie comme si de rien n’était.Durant un mois, je lui ai donné du Silicassis sur les consignes du vétérinaire jusqu’à la fin de la bouteille.
L’intervention et le rendez-vous post opératoire nous ont coûté au total 1200€ : le prix peut varier légèrement puisqu’il est fixé également en fonction du nombre d’implants. Dans ces 1200€ sont également compris une prise de sang pour un bilan sanguin complet que l’on m’a proposé à 100€ et que j’ai trouvé intéressant pour avoir des éléments de base puisque je n’en avais jamais fait faire jusqu’à présent. Ne sont pas compris les radios que j’avais effectué au préalable dans une autre clinique.
L’après
En mai et août 2025, Helly nous semblait encore raide du train arrière et nous avons choisi pour respecter les directives du vétérinaire spécialiste de lui refaire des injections de Librella pour éviter toute rupture d’antalgiques.
LES TRAITEMENTS COMPLÉMENTAIRES
Oméga 3
Le Dr. RANDLE nous a conseillé de donner des Omega 3 à Helly quotidiennement tout le reste de sa vie. Il nous a mis en garde à ce titre contre l’huile de saumon en bouteille puisque le fait d’ouvrir et fermer le bouchon fait rentrer de l’air et supprime progressivement les effets positifs de l’huile en termes d’apport d’oméga 3 justement. A termes, on ne donnerait donc plus que de l’huile grasse à son chien sans les bénéfices.
On a donc choisi de lui donner des Omega 3 de chez Nutripure à raison de 2 gélules par jour – elle pourrait être à 2.5 en faisant 33kg mais on ne peut pas les couper -.
Laser
Au delà de ça, notre vétérinaire nous avait parlé du traitement au laser pour soulager les douleurs et nous avons choisi en décembre de compléter le traitement des implants d’or par des séances de laser. C’est totalement indolore et inoffensif et cela permet de chauffer en profondeur les zones de tension pour soulager.
Le laser permet dans une certaine mesure d’éviter les injections de Librella. Nous avons fait 3 premières séances espacées d’une semaine chacune puis une dernière 1 mois plus tard fin janvier. Nous ne devrions pas en refaire avant 6 mois.
Chaque séance coûte 36€ et au pro rata, cela revient bien moins cher que les injections de Librella sur une année bien que ça ne soit pas notre motivation première.


BILAN
Ce qui est le plus important à retenir pour nous, c’est qu’Helly malgré ses quelques épisodes de boiterie épisodiques n’a jamais présenté de régression nette sur le plan physique puisque nous n’avons jamais cessé les activités outdoor.
Comprendre l’arthrose pour mieux l’appréhender
Le mécanisme de l’arthrose est complexe : les diverses inflammations qui vont venir calcifier les os et les souder entre eux en réduisant de fait la mobilité – les fameux becs de perroquet sur la colonne – sont très douloureuses. La douleur est accentuée par le froid et l’humidité. Il est donc normal qu’un chien porteur de cette pathologie semble très raide notamment au réveil après une nuit de sommeil car il va devoir déverrouiller son corps. De la même façon, il peut l’être en rentrant d’une randonnée une fois au repos mais pas durant l’effort.
Si je peux en parler, c’est que je suis atteinte en qualité d’humaine par la même pathologie. Et que ce premier retour d’expérience peut vous être précieux : on pourrait avoir tendance à vouloir protéger son chien de la douleur en le laissant au calme et au repos, voyant nécessairement ses difficultés au petit matin pour se lever. Pourtant, c’est bien l’inverse que vous allez provoquer. La sédentarité va favoriser l’arthrose avec un corps froid et douloureux continuellement. Au contraire, l’activité réchauffe l’organisme et une fois que toute la machine est activée… les douleurs disparaissent.
C’est pourquoi nous avons mis longtemps à poser un diagnostic pour ma part car je ne comprenais pas pourquoi j’étais d’un côté capable d’avaler 1500D+ sans sourciller et le soir même à froid ne plus pouvoir me déplacer jusqu’à ma cuisine sans m’agenouiller pour étirer mon bassin. Finalement, le sport me sauve quotidiennement des douleurs et il en va de même pour votre chien – évidemment, cela dépend de la réalité de ses pathologies -.
Une fois que la soudure est faite entre les vertèbres, on perd en souplesse : transformation manche à balais ! Mais la douleur disparaît, on est donc plus raide mais moins souffrant.
Cette mise au point me semblait nécessaire parce que j’ai eu énormément de témoignages de dogparents dévastés par des diagnostics vétérinaires similaires au premier que nous avons eu lors de la découverte des imageries radios. De fait, nombreux d’entre vous ont été condamnés à ne faire plus que des balades de 20/30 minutes durant toute la vie du chien et pour certains dès leur plus jeune âge, ce qui me semble ahurissant. Le sport ou tout du moins l’activité physique adaptée est bénéfique, la sédentarité jamais.
Si nous avions eu ce diagnostic à l’âge d’un an, probablement quand notre chienne a développé sa dysplasie, nous n’aurions sûrement jamais osé continuer de rêver haut et grand en montagne. Nous aurions voulu la préserver, la protéger. Mais de quoi ? La vie ?
Nous sommes heureux d’avoir vécu dans cette ignorance : il est évident qu’Helly a dû en souffrir par moment, comme c’est également mon cas parfois avec ma discopathie. Mais le bénéfice de cette activité physique intense pour sa santé comme pour la mienne est incomparable. C’est bien sa musculature qui l’a sauvé du handicap qui aurait dû être le sien.
Et les implants d’or dans tout ça ?
Helly a été sous Librella durant un an sans discontinuer à raison d’une injection tous les 1 mois et demi. Depuis la pose des implants d’or début avril 2025, elle a reçu deux injections en mai et août 2025. Cela fait donc plus de 6 mois qu’elle n’en a plus les effets.
Lors du contrôle post-opératoire de juillet 2025, le spécialiste constatait une belle amélioration de la mobilité sur la colonne mais plus timide sur les hanches, la zone la plus touchée. Rappelons que les effets sont évolutifs et progressifs dans le temps et qu’à 3 mois de l’opération, c’était donc parfaitement normal. En décembre 2025, constatant toujours quelques raideurs du train arrière notamment avec la période et les sorties hivernales, nous avons opté pour le laser en complément des implants. Après la 4ème séances de laser en janvier, Helly est en forme et ne présente pas de boiterie en revenant des sorties. D’ailleurs nous n’en avons jamais eu de nouvelles après la fameuse sortie de ski de rando à fond les ballons à 6 ans. Elle peut toujoursavoir des raideurs à froid en rentrant d’une grosse sortie mais le lendemain tout va bien.
Lors du contrôle post-opératoire de février 2026, soit 10 mois après la pause des implants, les hanches ont une véritable amélioration. Il reste un point très douloureux au centre de la colonne, point névralgique des mouvements entre les muscles de l’avant et de l’arrière, que l’on surveille. Il nous a été conseillé de masser régulièrement pour détendre les muscles sur cette zone.
Force est de constater que le laser couplé aux implants lui permettent pour le moment de se passer du Librella. La prochaine séance de laser est prévue pour juin, ce qui fera 6 mois d’écart avec la dernière, afin de bien préparer son corps pour la grosse saison de montagne estivale.
Pour Helly, les implants d’or n’ont pas été spectaculaires pour la simple et bonne raison qu’elle n’a jamais été diminuée physiquement avant la pose. Ainsi, elle est maintenue dans son état de forme actuel grâce à cette pose en prévention et sans cela, il y aurait fort à parier qu’elle serait bien plus réduite sur le plan de la mobilité.
Nous continuerons donc le laser et les Omega 3 ainsi que trois séances minimum par an d’ostéopathie.
Kira
Ce dernier témoignage est sûrement le plus intéressant pour un grand nombre d’entre vous. Peut-être est-il difficile de se projeter avec l’histoire d’Helly car elle peut paraitre physiquement hors-norme et nos ascensions à 4000m impressionnent.
Kira est la malinoise de l’une de mes meilleures amies. Elle est une chienne randonneuse classique, sportive sans être une athlète. A ses 8 ans, elle a commencé à présenter de grosses boiteries à une patte arrière, soldées par une opération des ligaments croisés.
Malheureusement 6 mois plus tard, les boiteries sont revenues sur le même membre. Mon amie a consulté deux vétérinaires successivement dont les diagnostics ont été équivalent au nôtre et sans appel : vous devez rayer la randonnée de votre vie, votre chienne est âgée et elle ne devra faire plus que des balades de 30 minutes au maximum. Elle était couverte de la tête aux pattes d’arthrose et de becs de perroquet à un stade très avancé.
Des opérations lourdes ont également été proposées, moyennant environ 5000€. Elle s’est donc retrouvée durant 6 mois avec une chienne extrêmement réduite physiquement, allant sur ses 10 ans, boitant à chaque retour de balade hygiénique de 20 minutes et ce malgré le Librella qui faisait très partiellement effet.
Pourtant en suivant nos encouragements, elle ne s’est pas précipitée pour prendre une décision lourde de conséquences autant pour sa chienne que pour son portefeuille. C’est à ce moment-là que j’ai pris conscience de notre côté qu’il fallait qu’on s’intéresse davantage aux implants d’or et lui en ai fait part également, pensant que cela pouvait être une option pour soulager sa chienne.
Puisqu’on a la chance d’habiter proche de la fameuse clinique de la Yourte Vétérinaire, elle a pris le temps d’aller consulter pour avis et le Dr. Randle a jugé que les implants pouvaient effectivement améliorer sa mobilité en soulageant les douleurs, bien entendu sans la guérir. Implantée 15 jours après Helly, nous avons vu l’évolution sur une chienne dont les capacités étaient réduites au néant ou presque.
C’est simple : on est passé d’une chienne qui boitait à 20 minutes de balade à une chienne qui a pu refaire 800 mètres de dénivelé positif en randonnée sans boiter 4 mois plus tard. A fond la forme, elle est méconnaissable. Elle présente comme Helly des raideurs à froid le soir en rentrant mais c’est sans commune mesure avec ce qu’il en était sans les implants.
Comme nous, elle prend en considération l’âge de sa chienne et prend des précautions supplémentaires : davantage de pauses, une bonne hydratation et gestion de la nourriture, des manteaux étanches pour les randonnées hivernales très froides ou pour dormir en tente et cabane non gardée pour les protéger au mieux.
Enfin, des séances d’ostéopathie tous les trois mois en complément des implants d’or permettent à Kira de retrouver les sentiers des montagnes qu’elle aime tant en pleine forme !
Nous espérons que ces éléments et divers témoignages pourront vous aiguiller dans vos réflexions sur la meilleure façon de traiter les pathologies de vos chiens. N’hésitez pas si vous avez des questions.










